ここでは、30~50歳での矯正治療の代表的な症例をご紹介します。
矯正治療というと、子供・若年層のイメージですが、30~60歳以上でも可能です。歯並びを治すことにより口の中の清掃が容易になり、バランスの良いかみ合わせとなります。このために、近年では歯周病の予防と治療のために、矯正治療がおこなわれています。
30~50歳での矯正治療
【症例1 】32歳 女性:乱杭歯(叢生)
| 主訴 | 下の歯のガタガタ |
|---|---|
| 装置 | フルブラケット装置 |
| 治療期間 | 46ヶ月 |
| 治療費 | 88万円 |
| リスク | 歯周病や虫歯のために65⏊57(右上の第一大臼歯と第二小臼歯、左上の第二小臼歯と第二大臼歯)と5⏉5(下顎左右の第二小臼歯)の抜歯が必要となり上の左右の親知らずを前方に移動させて噛めるようにするので、治療期間が長くなります。そのために、歯周病の悪化や虫歯の発生、歯の根の吸収(歯根吸収)が心配です。さらにかぶせ物(補綴物)をやりかえる必要があります。 |

上下とも歯並びが乱れています。

きれいに並びました。

治療後14年経過。歯並びが綺麗なまま安定しています。

特に左側の歯並びが乱れています。上の犬歯の前後の歯肉に炎症があります。

左上もきれいに並びました。上の犬歯の歯肉の炎症も治りました。

治療後14年経過。歯並びが綺麗なまま安定しています。
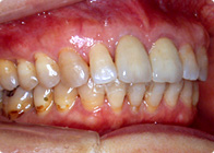
【症例2 】37歳 女性:出っ歯(上顎前突)
上の前歯が出て唇を閉じることが困難となり歯周病が進行しています。
| 主訴 | 前歯のすき間と出っ歯 |
|---|---|
| 装置 | バイオネーターとフルバラケット装置 |
| 治療期間 | 38ヶ月 |
| 治療費 | 89万円 |
| リスク | かなり強度の歯周病があり矯正治療開始を待ちました。歯周病が進行しないように歯磨きや食べ物への注意が重要です。また顎関節症の症状が出ることも予想されました。上顎前歯のかぶせた歯は再製作が必要です。治療後も、歯周病が進行すると歯並びは悪くなるので、歯並び安定のために歯周病治療と保定装置は必要です。 |

上の歯が下の歯を大きく覆っています。下の前歯は見えません。前歯の歯肉に炎症があります。

下の歯が見えるようになりました。歯肉の炎症も治りピンク色の歯肉となりました。

治療後10年経過。上下の歯のかみ合わせが良い位置で安定しています。歯肉も良い状態で、歯周病の進行はみられません。

横から見て上の歯が下の歯よりも前に出ています。

上の前歯が引っ込み、上下の前歯でかんでいます。

治療後10年経過。上下の歯のかみ合わせが良い位置で安定しています。歯肉も良い状態で、歯周病の進行はみられません。
【症例3 】35歳 女性:うけ口(下顎前突)
加齢とともに下の前歯が前へ出てきました。
| 主訴 | 前歯のガタガタと噛み合わせが逆である |
|---|---|
| 装置 | マルチブラケット装置 |
| 治療期間 | 28ヶ月 |
| 治療費 | 44万円 |
| リスク | 反対咬合と横顔の改善のために下の前歯を1歯抜歯するので、上と下の正中線は不一致となり、ブラックトライアングルができます。前歯に歯肉炎があり歯周病の悪化が心配です。上の前歯は再製作する必要があります。 ※ブラックトライアングルとは歯と歯の接触点と歯ぐきに囲まれたすき間のことです |

下顎が前に出ていて前の歯の先端でかんでいます。

下の歯並びも治り、正常なかみ合わせになっています。

治療後16年経過。上下の歯のかみ合わせが良い位置で安定しています。

横から見ても下顎が出ています。

下より上の歯が前に出てかんでいます。

治療後16年経過。上下の歯のかみ合わせが良い位置で安定しています。

