ここでは、うけ口(下顎前突)の代表的な症例をご紹介します。
下顎前突…うけ口ともいい、上下顎の前歯のかみ合わせの関係が、反対になっているものをいいます。
うけ口
【症例1 】10歳 男性
この症例は、下顎に比べ、上顎の成長が劣るため、うけ口になっています。上顎を広げ、かみ合わせを正常にしました。
| 主訴 | 受け口 |
|---|---|
| 装置 | 上顎骨前方牽引装置とマルチブラケット装置 |
| 治療期間 | 9ヶ月 |
| 治療費 | 28万5千円 |
| リスク | ひどい下顎前突でアゴにあてる装置を使用するために、まれに下の歯の歯肉が下に下がる歯肉退縮することがあります。また治療後に再び反対咬合に戻りやすく2回目の治療が必要になることがあります。 |

上下のかみ合わせが、逆です。

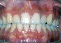
かみ合わせが、正常になりました。

治療後10年経過。上下の歯のかみ合わせはきれいに安定しています。

下の前歯が、上の前歯と逆に噛んでいます。

下顎が、治療前に比べると内側に入っています。

上下の顎の関係も、安定しています。

