ここでは、乱杭歯(叢生)の代表的な症例をご紹介します。
叢生…乱杭歯ともいい、主に前歯が凸凹している状態をいいます。
乱杭歯
【症例1 】15歳 女性:歯を抜かずに治したケース
矯正装置により、顎を側方方向に拡大しました。それにより、歯を抜かずに綺麗な歯並びにすることができました。
| 主訴 | 出っ歯と歯のガタガタ |
|---|---|
| 装置 | 上顎急速拡大装置とフルバラケット装置 |
| 治療期間 | 32ヶ月 |
| 治療費 | 76万円 |
| リスク | 治療前の上と下のアゴの幅が狭くV字型しており、これを拡大して治療するので、治療後にもとの形に戻りやすく、戻ると歯並びはまたデコボコになります。また拡大できない時には抜歯が必要となり、治療が長引いて歯の根の先が吸収(歯根吸収)することがあります。治療後も歯並び安定のための装置(保定装置)を使う必要があります。 |

上下とも歯並びが、ガタガタです。

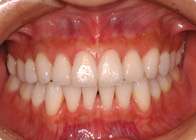
歯並びが、綺麗に整いました。歯を抜かずに治りました。

治療後10年経過。歯並びは、綺麗なままです。

上の歯のかむ面の写真です。内側に入っている歯があります。

内側に入っている歯も綺麗に並びました。

治療後10年経過。歯並びは、綺麗なままです。
【症例2 】17歳 女性:歯を抜いて治したケース
歯の大きさに比べて顎が小さいため、綺麗な歯並びになれません。そこで、歯を抜いて綺麗な歯並びにしました。
| 主訴 | 上顎前歯のガタガタ |
|---|---|
| 装置 | フルブラケット装置 |
| 治療期間 | 30ヶ月 |
| 治療費 | 80万円 |
| リスク | この方の歯の根は細長い形をしており、抜歯を必要とする矯正治療で歯の移動距離が大きく治療期間も長くなるために、歯の根が短くなる歯根吸収が発生しやすいです。歯の噛み合わせが浅いので内側に入っている上の側切歯は、もとに戻りやすいです。さらに、顎の痛みや開口制限などの顎関節症状があり、これが悪化することも考えられます。治療後にも歯並び安定の装置を長く使用する必要があります。 |

上下とも歯並びが、ガタガタです。

歯並びが、綺麗に整いました。

治療後9年経過。歯並びは、綺麗なままです。

上の歯のかむ面の写真です。内側に入っている歯があります。

内側に入っている歯も綺麗に並びました。左右とも、真ん中から4番目の歯を抜いて治しました。

治療後9年経過。歯並びは、綺麗なままです。

