ここでは、出っ歯(上顎前突)の代表的な症例をご紹介します。
上顎前突…上の前歯が下の前歯よりかなり前に突出している噛み合わせを上顎前突(出っ歯)といいます。
出っ歯
【症例1 】11歳 男性:歯を抜かずに治したケース
上の歯が前方に突出しているため、下の顎の骨を前方方向に成長させて、上下のかみ合わせを改善しました。それにより、抜歯をしなくても、上の歯の前方への突出が改善され、口元も改善されました。
| 主訴 | 前歯がデコボコして、出っ歯である |
|---|---|
| 装置 | バイオネーターとダイナミックポジショナー |
| 治療期間 | 14ヶ月 |
| 治療費 | 68万円 |
| リスク | この症例の出っ歯は喘息による口呼吸が大きな原因です。口呼吸が改善しないともとの歯並びに戻りやすいです。また成長発育を利用した取り外しできる装置での治療では、個人にあった装置の使用時間と使用期間があり、長期にわたる治療が必要となります。アゴの痛みなどの顎関節症が発生することもあります。治療後にも歯並び安定の装置を長く使用する必要があります。 |

上の前歯が大きく突き出て、下の前歯が見えないくらい覆っています。

下の前歯が見えるようになりました。歯を抜かずに治りました。

治療後6年経過。上下の歯のかみ合わせが、安定しています。

横から見て上の歯が大きく前に突き出ています。

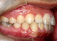
上の前歯が引っ込み、上下の前歯でかんでいます。

治療後6年経過。上下の歯のかみ合わせが、安定しています。
【症例2 】16歳 男性:歯を抜いて治したケース
上の歯が、前方に突出しており、、口元の出ている感じを治す為に抜歯して、上下のかみ合わせを改善しました。
| 主訴 | 上の歯が出ている |
|---|---|
| 装置 | フルブラケット装置 |
| 治療期間 | 40ヶ月 |
| 治療費 | 88万円 |
| リスク | 生まれつき下の前歯が1歯不足した出っ歯で、上の小臼歯2歯を抜歯して治療するリスクがあります。また鼻炎のために口呼吸があり、出っ歯やすきっ歯が戻りやすい不正咬合です。また、顎関節の動きが悪いためにアゴの痛みや開口制限が発生しやすいです。治療後にも歯並び安定の装置を長く使用する必要があります。 |

上の前歯が大きく突き出て、下の前歯が見えないくらい覆っています。

下の前歯が見えるようになりました。左右とも、真ん中から4番目の歯を抜いて治しました。

治療後6年経過。上下の歯のかみ合わせが、安定しています。

横から見て上の歯が大きく前に突き出ています。

上の前歯が引っ込み、上下の前歯でかんでいます。

治療後6年経過。上下の歯のかみ合わせが、安定しています。

